MORPHOFUNCITONAL BASIS OF JOINT TYPOLOGY
Фотографии:
ˑ:
F.L. Dolenko, professor, Ph.D.
Nizhny Novgorod state university of architecture and civil engineering. Nizhny Novgorod
Key words: joint, joint structure, structural variants, typology, range of motions.
In many sports such as choreography, acrobatics, circus arts, as well as in some types of work beginners' perspectives are determined by the individual variants of agility in key joints. Here unfavorable hip joint bone structure can limit skiers' capacity of making specific skating stride motions. Unfavorable configuration of wrist joint bones can deprive a basketball player of the ability to make effective sniper shots taken from the perimeter. Leg "turnout" in hip joints is strictly tested in children before starting classes of rhythmic gymnastics and at ballet school. Specific features of shoulder and ankle joint structure will promote unconquerable difficulties for a weightlifter while making a jerk (2). In orthopedics such qualities are required for successful posttraumatic rehabilitation, in prosthetics etc.
There arises the necessity of creation of typical joint characteristics, providing for experts, researchers and trainers an objective and detailed technique of morphofunctional assessment of the success forecast of this or that motor activity, perspectives of rehabilitation and correctional effects.
Nevertheless, individual variants of the range of motions and joint structure within their standard geometric form are hardly studied (3).
The proceedings of mass measurement (11038 town citizens of indifferent professions) of total active (TAROM) and passive (TPROM) ranges of motions in shoulder, elbow, wrist, hip, knee and ankle joints served the material of the research. Goniometry was conducted in accordance with the adapted for a certain joint technique. Passive motions were made using the author’s effort standardizer.
A rather close correlation of TAROM and TPROM has been revealed within the studies. Their correlation coefficients by single joints ranged from 0,83 to 0,96. According to the compared kinematic capacities of joints with their structure (layered preparation of 178 joints, X-ray study combined with goniometry of 282 joints), TPROM is more precise in reflecting specific features of joint structure, since it is a function of the most certain and long-term argument – form and size of bones. TPROM is more stable, slightly correlated with the current body status and at repeated test reveals higher reliability (0,93 – 1,0) compared to TAROM (0,83 – 0,93). Thus, hereafter we used this index for joint type diagnostics.
Repetitiveness of certain combinations of motion ranges was observed in different people already within mass goniometry. The arithmetic mean of TPROM in every age group was chosen as a start point of statistic operations. Using the R. Martin grid (4) with standard deviation from the average as a scale of class interval, we considered it possible to drop the interval to single σ, corresponding to the values of “above the average” and “below the average”. It resulted in three types of joints, where TPROM was qualified by the ternary information code as “large”, “average” and “low” at ensured vital distinctions. The joints corresponding to the given TPROM types were called “highly active”, “moderately active” and “inactive”.
Let’s take as an example the results of estimation of the joint type by TPROM of flexion and extension in shoulder joint (Table 1). This is how, summarily, without allocating items, most of the researchers register agility of body units.
Obviously, TPROM proceeds from the action of corresponding structural mechanisms, assigning the motion type. Joint type was established to be determined by:
1) circumference of articular surface;
2) its congruence;
3) position, form and duration of bone rest points;
4) Joint length, number and orientation;
5) Position and state of antagonists, number of joints next to which they take place.
Herewith, one should take into account that according to their mechanical properties bones and bone rest points restrain and soft tissues inhibit motions (5, 6).
The curve of joint articular surface is acutely distinguished to the typical triad. Thus the measured arch of the block of 259 macerative hucklebones at the average of 112-1170 revealed 117 moderately active (block curve 109-1160), 86 - highly active (above 1220) and 56 – inactive (under 1020) joints.
Two extreme types of carpal articulation are shown on Fig. 1. Herewith we have predicted the typical features of their articular surface and inhibitor structure since before the X-ray study – by the typical properties of their TPROM.

Fig. 1. Carpal articulation types. a – highly active (in master of sports in table tennis, 8-year experience); b – inactive (in road racer, honored master of sports, 18-year experience).
The closest correlation of form and function of joints is obvious. The game of a professional in table tennis is associated with the high quality and overwhelming number of so called “wrist shots”, which are fundamental for modern table tennis. The road racers hand (X-rayed in 1998) performs the static support function for many hours of trainings and contests, same as for foot while standing.
The schemes of these joints made basing on one-scale blueprints are shown on Fig. 2. The joint with the large scale of wrist abduction-adduction has a wide joint space (3 mm), weak congruence of articular surface of bones of proximal and distal rows (enlarged circumference of fossa). Small ulnar steloid and potential carpal bone rest point (3,5 mm) are spaced far (4,5 mm) apart. In the inactive joint articular surfaces are strictly congruent with the far narrower space between them (1,5 mm) and eccentric arch of articular surface of the lateral amplitude of 27 mm and medial – 45 mm. Ulnar steloid protrudes above caput ulnae for 6,5 mm and is nearly adjoining carpal bones.

Fig. 2. Scheme of highly active (a) and inactive (b) carpal articulations.
It is vital that eccentricity of articular surface circumferences as a motion-span limited mechanism has not been considered or interpreted in morphological researches.
The effect of bone rest points (mutual bone slip limited protuberances) is shown depending on their isolation from corresponding contact surfaces on other bone or bones (Fig. 3). The form of rest points is also of great importance. In highly active joints they are smoothed, make a slight angle with the bone surface, promoting potential additional slip in case of mutual isolation of articulating bones. In inactive joints rest points are sharply precipitating over the bone surface. They simultaneously stop moving after contact with similar sharply formed contact surfaces.
Even fuller and more valuable information can be obtained using the same statistical technique in case of estimating the correlation of the components of the range of opposed motions (of flexion and extension, abduction and adduction, pronation and supination) but not its total range. For example, the “mean” total can be made of the large span of flexion and small span of extension and vice versa. Typical distinctions are shown here in significantly exceeding range of these motions with the relevant decrease of the range of opposed motions.
This is the way to allocate joints with dominating flexion, extension, abduction, adduction, supination and pronation. Maintenance of the adequacy of the opposed motions to the mean values for each of them characterizes the “mean” joint. This typification is most clear in the talocrural joint at knee bent 900 (Fig. 2).
Supporting framework elements change in compliance with the joint type and the function forming it. So in the talocrural joint with the dominating joint flexion, extension inhibitors grow, thicken, additional fascicles arise, reinforcing densely the posterior joint capsule. In the joint with the dominating extension the capsule is thin, unresisting, with sharply formed posterior talofibular ligament and is slightly attached to bones, promoting a wide foot extension range.
The analysis of the correlation of the range of motions of all limb parts in all sex and age groups has revealed an intensive consistency: in the mean joints TAROM and TPROM of opposed motions are closely and positively correlated (r from 0,79 to 0,90). In the extreme joint types they are closely, but negatively correlated (r from - 0,71 to - 0,84). That is to say, the bigger the flexion range in the joint with dominating flexion, the smaller the extension range is in it; the bigger extension in the joint with the dominating extension, the smaller the flexion range is.
This practically critically important correlation is smoothed in case of summing up of motions. In this case we qualify the maintained value of the mean total range as a structural-functional adaptation of joint to the provided high range of certain motion preserving the basic overall strength and reliability of the whole articulation.

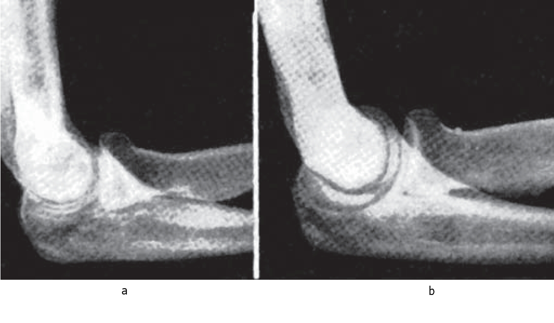
Fig. 3. Intensity of olecranon and coronoid processes, depth of cubital fossa adequate and inadequate to “solid of rotation”, form of caput ulnae in highly active (a) and inactive (b) curbital articulations.
Conclusion. Whilst characterizing individual joint features one should first indicate its type by the total range followed by the correlation of opposed moves. There provokes the capacity of reliable forecasting of typical features of adjoining bones, bands and joint capsule by the amount and correlation of TAROM and TPROM and without complex researches. And, on the contrary, it makes it easy to diagnose the possible range of motions, for example, using X-ray. All this will promote allocation of adequate and effective methods of individually graduated effect on a joint.
Bibliography
1. Dolenko, F.L. Individual features of hip joint and its role for specialization in skiing / F.L. Dolenko // Teoriya i praktika fizicheskoy kultury. –1987. – № 7. – P. 59. (In Russian)
2. Dolenko, F.L. The role of functional specialization of ankle joint in mastering of the technique of weight lifting / F.L. Dolenko // Teoriya i praktika fizicheskoy kultury. – 1973. – № 5. – P. 38. (In Russian)
3. Dolenko, F.L. Typical variants of joint structure as a criterion of athletes perspectives / F.L. Dolenko // Proceedings of the II All-Union scient.-pract. conf. on the problems of sports morphology. – Moscow, 1977. – P. 65. (In Russian)
4. Dolenko, F.L. Freedom level of effector elements of joint motor system / F.L. Dolenko // Biofizika. – 1985. – V. XXXI. – P. 536.
5. Dolenko, F.L. System features of the elements of human ligamentous apparatus / F.L. Dolenko // Teoriya i praktika fizicheskoy kultury. – 1991. – № 10. – P. 55. (In Russian)
6. Martin, R. A brief manual on anthropometric measurements / R. Martin. – Мoscow, 1929. (In Russian)
Author’s contacts: k_fizkult@nngasu.ru



Журнал "THEORY AND PRACTICE